Internal Jugular Vein Catheter Radiology . It is formed by the union of. explain how to insert an internal jugular catheter. 4 it has a straight course to the right heart, the lowest risk of symptomatic central venous stenosis and thrombosis. the internal jugular vein is a continuation of the sigmoid sinus as it emerges from the jugular foramen at the skull base. 6), contralateral subclavian or axillary vein, or azygous. if fluoroscopy is not used during catheter insertion, a malpositioned catheter may lie in the internal jugular vein (fig. the internal jugular vein (ijv) is the major venous return from the brain, upper face and neck. Summarize the complications of internal jugular vein cannulation. lordick f., hentrich m., decker t., hennig m., pohlmann h., hartenstein r., peschel c. cvcs are most commonly inserted via the right internal jugular vein. the preferred vein for cvcs is the right internal jugular vein. Right internal jugular catheters are positioned on the right.
from www.bjanaesthesia.org
Summarize the complications of internal jugular vein cannulation. It is formed by the union of. the internal jugular vein is a continuation of the sigmoid sinus as it emerges from the jugular foramen at the skull base. explain how to insert an internal jugular catheter. the preferred vein for cvcs is the right internal jugular vein. the internal jugular vein (ijv) is the major venous return from the brain, upper face and neck. if fluoroscopy is not used during catheter insertion, a malpositioned catheter may lie in the internal jugular vein (fig. cvcs are most commonly inserted via the right internal jugular vein. 4 it has a straight course to the right heart, the lowest risk of symptomatic central venous stenosis and thrombosis. 6), contralateral subclavian or axillary vein, or azygous.
Ultrasound detection of freefloating thrombus during internal jugular
Internal Jugular Vein Catheter Radiology if fluoroscopy is not used during catheter insertion, a malpositioned catheter may lie in the internal jugular vein (fig. the internal jugular vein (ijv) is the major venous return from the brain, upper face and neck. lordick f., hentrich m., decker t., hennig m., pohlmann h., hartenstein r., peschel c. the preferred vein for cvcs is the right internal jugular vein. cvcs are most commonly inserted via the right internal jugular vein. explain how to insert an internal jugular catheter. the internal jugular vein is a continuation of the sigmoid sinus as it emerges from the jugular foramen at the skull base. It is formed by the union of. if fluoroscopy is not used during catheter insertion, a malpositioned catheter may lie in the internal jugular vein (fig. 6), contralateral subclavian or axillary vein, or azygous. Summarize the complications of internal jugular vein cannulation. Right internal jugular catheters are positioned on the right. 4 it has a straight course to the right heart, the lowest risk of symptomatic central venous stenosis and thrombosis.
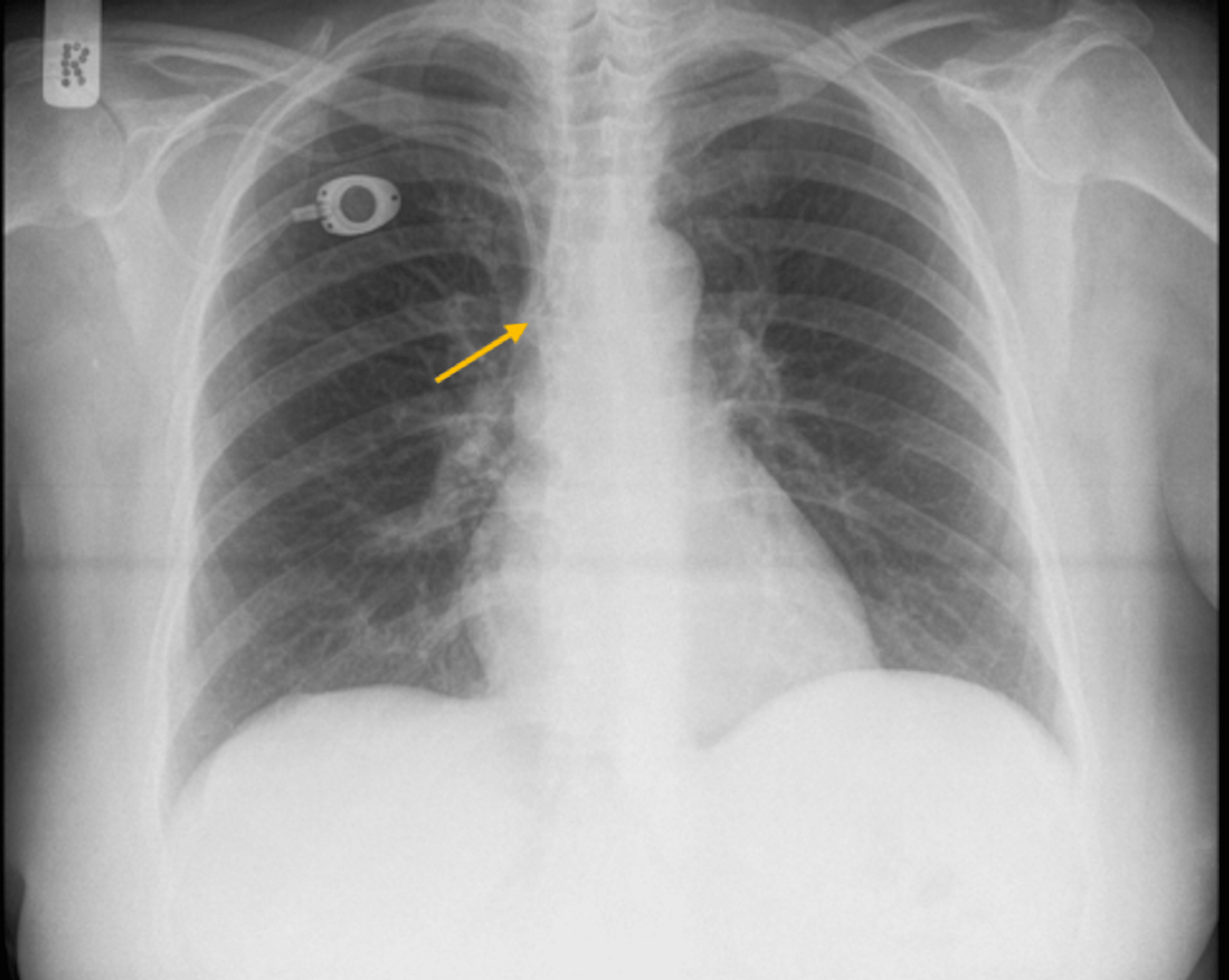
From www.ejradiology.com
USguided placement of temporary internal jugular vein catheters Internal Jugular Vein Catheter Radiology lordick f., hentrich m., decker t., hennig m., pohlmann h., hartenstein r., peschel c. 4 it has a straight course to the right heart, the lowest risk of symptomatic central venous stenosis and thrombosis. Summarize the complications of internal jugular vein cannulation. Right internal jugular catheters are positioned on the right. It is formed by the union of. . Internal Jugular Vein Catheter Radiology.
From www.annsaudimed.net
Rare leftsided presentation of internal jugular vein ectasia in an Internal Jugular Vein Catheter Radiology Summarize the complications of internal jugular vein cannulation. if fluoroscopy is not used during catheter insertion, a malpositioned catheter may lie in the internal jugular vein (fig. the preferred vein for cvcs is the right internal jugular vein. lordick f., hentrich m., decker t., hennig m., pohlmann h., hartenstein r., peschel c. 6), contralateral subclavian or axillary. Internal Jugular Vein Catheter Radiology.
From americanjs.com
Reversal of Blood Flow in the Internal Jugular Vein A Case Series and Internal Jugular Vein Catheter Radiology It is formed by the union of. 6), contralateral subclavian or axillary vein, or azygous. the preferred vein for cvcs is the right internal jugular vein. the internal jugular vein is a continuation of the sigmoid sinus as it emerges from the jugular foramen at the skull base. the internal jugular vein (ijv) is the major venous. Internal Jugular Vein Catheter Radiology.
From www.youtube.com
Ultrasoundguided Internal Jugular Central Venous Catheterization Internal Jugular Vein Catheter Radiology 4 it has a straight course to the right heart, the lowest risk of symptomatic central venous stenosis and thrombosis. if fluoroscopy is not used during catheter insertion, a malpositioned catheter may lie in the internal jugular vein (fig. Summarize the complications of internal jugular vein cannulation. the internal jugular vein (ijv) is the major venous return from. Internal Jugular Vein Catheter Radiology.
From www.hotzxgirl.com
Internal Jugular Vein Catheterization Hot Sex Picture Internal Jugular Vein Catheter Radiology Summarize the complications of internal jugular vein cannulation. explain how to insert an internal jugular catheter. 6), contralateral subclavian or axillary vein, or azygous. It is formed by the union of. Right internal jugular catheters are positioned on the right. the internal jugular vein is a continuation of the sigmoid sinus as it emerges from the jugular foramen. Internal Jugular Vein Catheter Radiology.
From www.youtube.com
Central Line Procedure Step by Step !! CVP Line !! Internal Jugular Internal Jugular Vein Catheter Radiology if fluoroscopy is not used during catheter insertion, a malpositioned catheter may lie in the internal jugular vein (fig. cvcs are most commonly inserted via the right internal jugular vein. the preferred vein for cvcs is the right internal jugular vein. Summarize the complications of internal jugular vein cannulation. 4 it has a straight course to the. Internal Jugular Vein Catheter Radiology.
From aneskey.com
Internal Jugular Vein—Central Venous Access Anesthesia Key Internal Jugular Vein Catheter Radiology Summarize the complications of internal jugular vein cannulation. lordick f., hentrich m., decker t., hennig m., pohlmann h., hartenstein r., peschel c. 6), contralateral subclavian or axillary vein, or azygous. It is formed by the union of. Right internal jugular catheters are positioned on the right. the internal jugular vein (ijv) is the major venous return from the. Internal Jugular Vein Catheter Radiology.
From drkamaldeep.wordpress.com
Internal Jugular Vein Catheterization « Medical Quick Review of Basics Internal Jugular Vein Catheter Radiology if fluoroscopy is not used during catheter insertion, a malpositioned catheter may lie in the internal jugular vein (fig. the internal jugular vein (ijv) is the major venous return from the brain, upper face and neck. explain how to insert an internal jugular catheter. Summarize the complications of internal jugular vein cannulation. the preferred vein for. Internal Jugular Vein Catheter Radiology.
From www.bmj.com
Central venous catheters The BMJ Internal Jugular Vein Catheter Radiology the internal jugular vein is a continuation of the sigmoid sinus as it emerges from the jugular foramen at the skull base. Right internal jugular catheters are positioned on the right. the internal jugular vein (ijv) is the major venous return from the brain, upper face and neck. if fluoroscopy is not used during catheter insertion, a. Internal Jugular Vein Catheter Radiology.
From mungfali.com
Internal Jugular Central Venous Catheter Internal Jugular Vein Catheter Radiology Right internal jugular catheters are positioned on the right. lordick f., hentrich m., decker t., hennig m., pohlmann h., hartenstein r., peschel c. the internal jugular vein (ijv) is the major venous return from the brain, upper face and neck. 6), contralateral subclavian or axillary vein, or azygous. the preferred vein for cvcs is the right internal. Internal Jugular Vein Catheter Radiology.
From www.researchgate.net
Chest Xray showing catheter fragment in the internal jugular vein. The Internal Jugular Vein Catheter Radiology Summarize the complications of internal jugular vein cannulation. 4 it has a straight course to the right heart, the lowest risk of symptomatic central venous stenosis and thrombosis. the internal jugular vein (ijv) is the major venous return from the brain, upper face and neck. if fluoroscopy is not used during catheter insertion, a malpositioned catheter may lie. Internal Jugular Vein Catheter Radiology.
From stock.adobe.com
Catheter positioned in a men's body. Internal jugular vein , central Internal Jugular Vein Catheter Radiology the internal jugular vein is a continuation of the sigmoid sinus as it emerges from the jugular foramen at the skull base. the preferred vein for cvcs is the right internal jugular vein. cvcs are most commonly inserted via the right internal jugular vein. lordick f., hentrich m., decker t., hennig m., pohlmann h., hartenstein r.,. Internal Jugular Vein Catheter Radiology.
From www.researchgate.net
Radiograph shows a catheter kink (arrow) at internal jugular vein exit Internal Jugular Vein Catheter Radiology 4 it has a straight course to the right heart, the lowest risk of symptomatic central venous stenosis and thrombosis. the preferred vein for cvcs is the right internal jugular vein. the internal jugular vein (ijv) is the major venous return from the brain, upper face and neck. cvcs are most commonly inserted via the right internal. Internal Jugular Vein Catheter Radiology.
From www.researchgate.net
Radiograph of a right internal jugular tunneled central venous catheter Internal Jugular Vein Catheter Radiology Summarize the complications of internal jugular vein cannulation. Right internal jugular catheters are positioned on the right. explain how to insert an internal jugular catheter. 6), contralateral subclavian or axillary vein, or azygous. the internal jugular vein is a continuation of the sigmoid sinus as it emerges from the jugular foramen at the skull base. It is formed. Internal Jugular Vein Catheter Radiology.
From www.researchgate.net
Placement of a central venous catheter in the right internal jugular Internal Jugular Vein Catheter Radiology cvcs are most commonly inserted via the right internal jugular vein. lordick f., hentrich m., decker t., hennig m., pohlmann h., hartenstein r., peschel c. the internal jugular vein is a continuation of the sigmoid sinus as it emerges from the jugular foramen at the skull base. 6), contralateral subclavian or axillary vein, or azygous. It is. Internal Jugular Vein Catheter Radiology.
From mungfali.com
Internal Jugular Central Venous Catheter Internal Jugular Vein Catheter Radiology Summarize the complications of internal jugular vein cannulation. the internal jugular vein (ijv) is the major venous return from the brain, upper face and neck. cvcs are most commonly inserted via the right internal jugular vein. Right internal jugular catheters are positioned on the right. 4 it has a straight course to the right heart, the lowest risk. Internal Jugular Vein Catheter Radiology.
From www.cureus.com
Cureus Asymptomatic Spontaneous Migration of the Tip of PortACath Internal Jugular Vein Catheter Radiology lordick f., hentrich m., decker t., hennig m., pohlmann h., hartenstein r., peschel c. the internal jugular vein is a continuation of the sigmoid sinus as it emerges from the jugular foramen at the skull base. cvcs are most commonly inserted via the right internal jugular vein. explain how to insert an internal jugular catheter. . Internal Jugular Vein Catheter Radiology.
From criticalcaremcqs.com
Internal Jugular Vein Catheterization « Review of Critical Care Medicine Internal Jugular Vein Catheter Radiology cvcs are most commonly inserted via the right internal jugular vein. 4 it has a straight course to the right heart, the lowest risk of symptomatic central venous stenosis and thrombosis. explain how to insert an internal jugular catheter. the preferred vein for cvcs is the right internal jugular vein. Summarize the complications of internal jugular vein. Internal Jugular Vein Catheter Radiology.